症例紹介
掲載許可をいただいた患者様の症例のみを掲載しております。
-
-
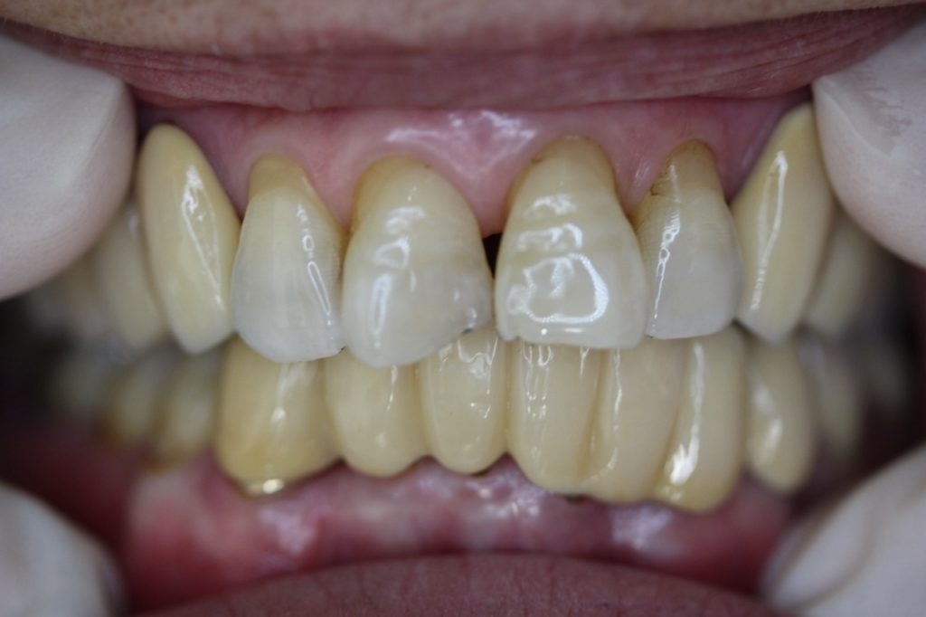
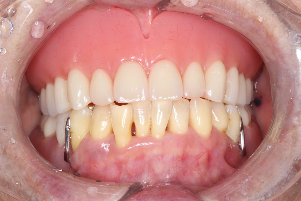
70代女性。入れ歯が外れやすく自分の奥歯も痛くて噛めない。
【CASE03】70代女性 藤沢市在住 - 【主訴】 奥歯が痛くて噛めない。入れ歯が合っていないので新しく作り直したい。 【治療】 上顎に総義歯、下顎に金属床の部分義歯を製作した。 【治療前の状態】 【治療後の入れ歯】 【治療後の状態】 ■治療期間・回数 6か月・
-
-
-
70代女性。噛み合わせの不具合を入れ歯治療により解決。
【CASE02】70代女性 茅ヶ崎市在住 - 【主訴】 入れ歯が合わず噛めない。歯がグラグラしてきたので心配している。 【治療】 上下顎コーヌステレスコープ義歯により治療 ■治療期間と費用 ・治療期間:6ヶ月 ・費用:¥3,132,000
-
-
-
70代女性。奥歯の根が折れて噛めない。目立たない入れ歯で治療したい。
【CASE01】70代女性 茅ヶ崎市在住 - 【主訴】 奥歯が痛くて噛めない。歯茎から膿が出て腫れている。 【治療】 下顎にコーヌステレスコープ義歯を製作し治療 ■治療期間・回数 4か月・8回 ■費用 ¥2,800,000(自由診療) ※治療費は、治療契約当時のもの
-
