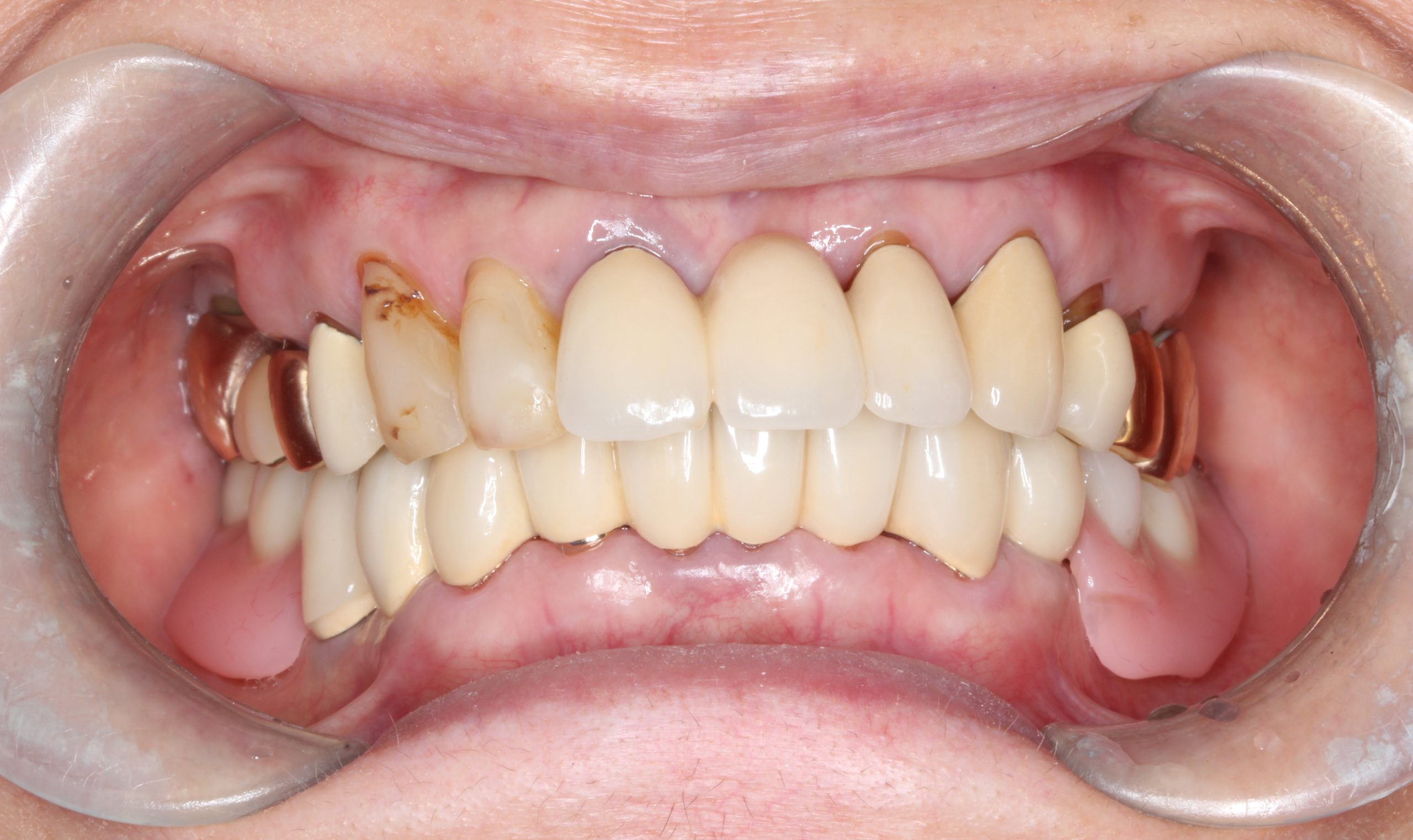
70代女性。奥歯の根が折れて噛めない。目立たない入れ歯で治療したい。
【主訴】
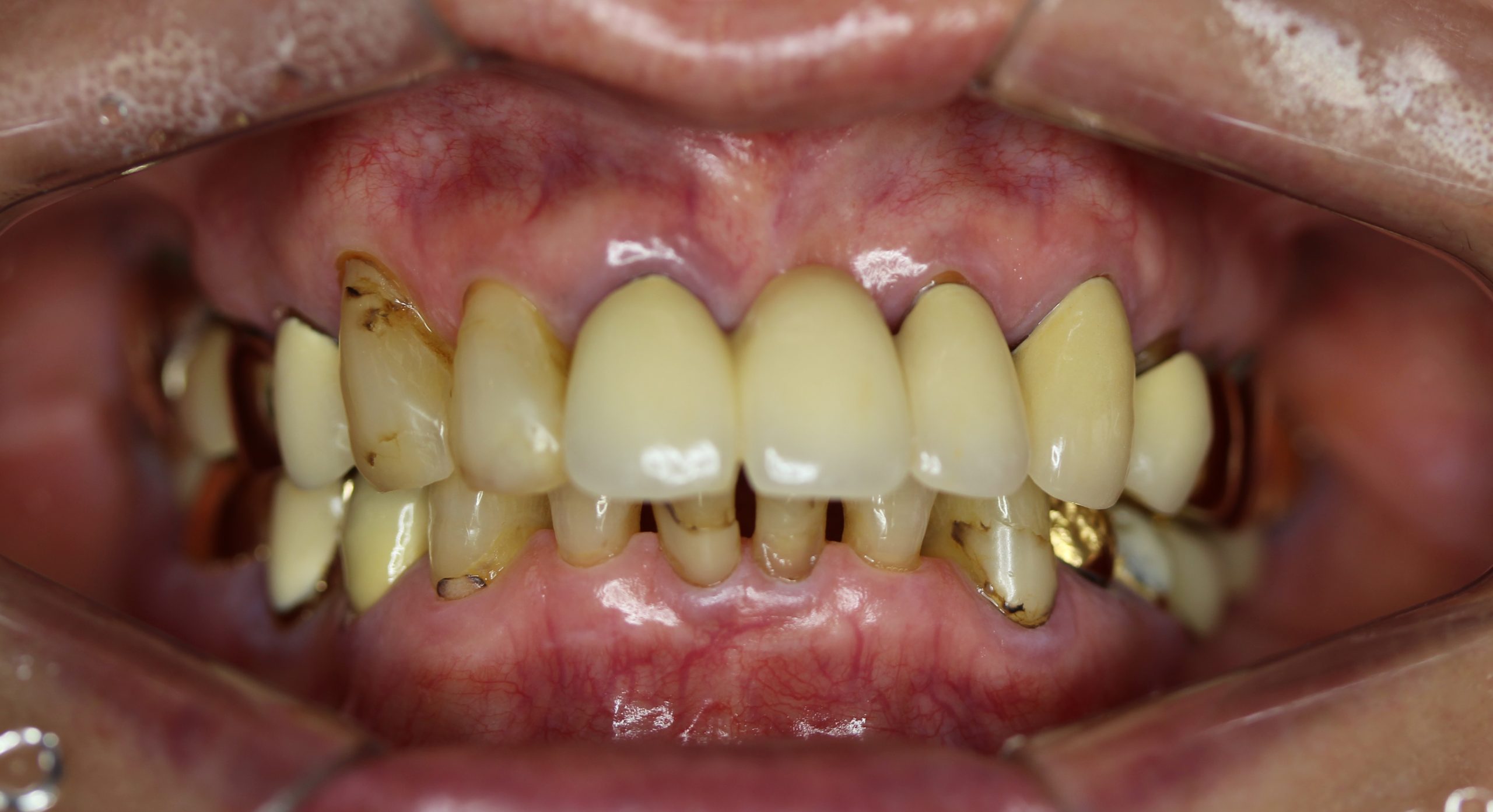
奥歯が痛くて噛めない。歯茎から膿が出て腫れている。
【治療】
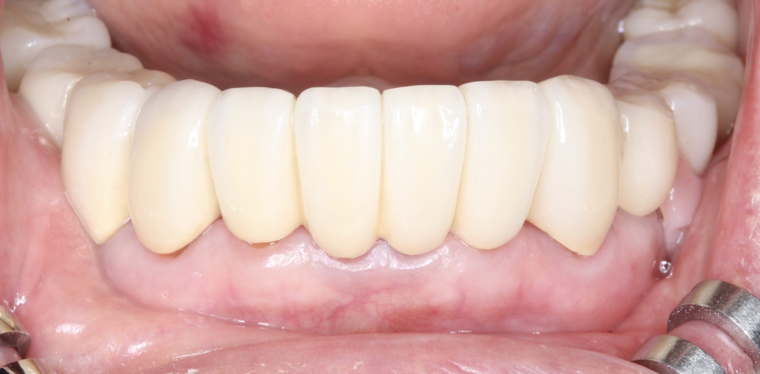
下顎にコーヌステレスコープ義歯を製作し治療


■治療期間・回数
4か月・8回
■費用
¥2,800,000(自由診療)
※治療費は、治療契約当時のものです。治療内容と状態により異なります。
【主訴】
奥歯が痛くて噛めない。歯茎から膿が出て腫れている。
【治療】
下顎にコーヌステレスコープ義歯を製作し治療


■治療期間・回数
4か月・8回
■費用
¥2,800,000(自由診療)
※治療費は、治療契約当時のものです。治療内容と状態により異なります。