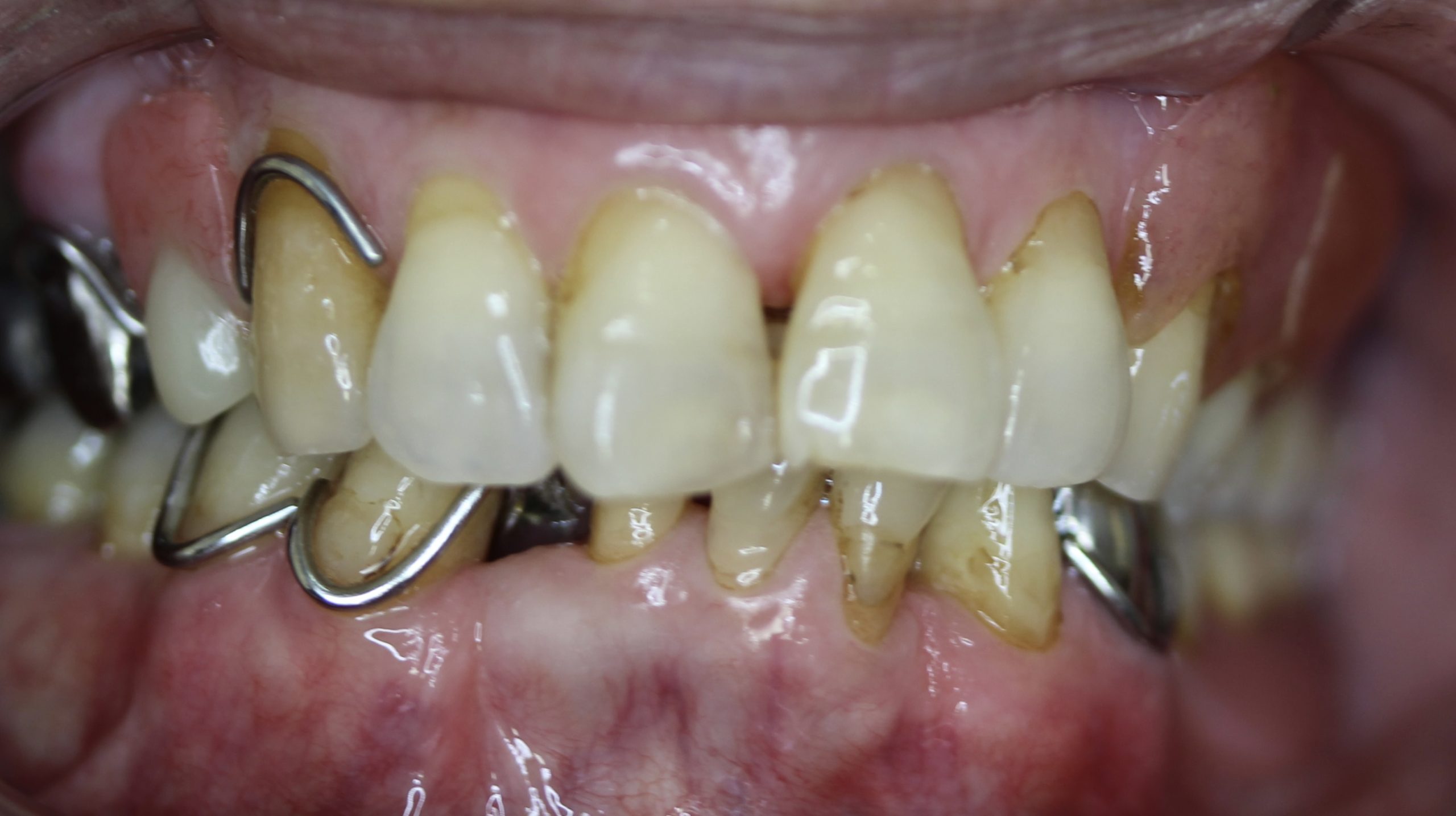
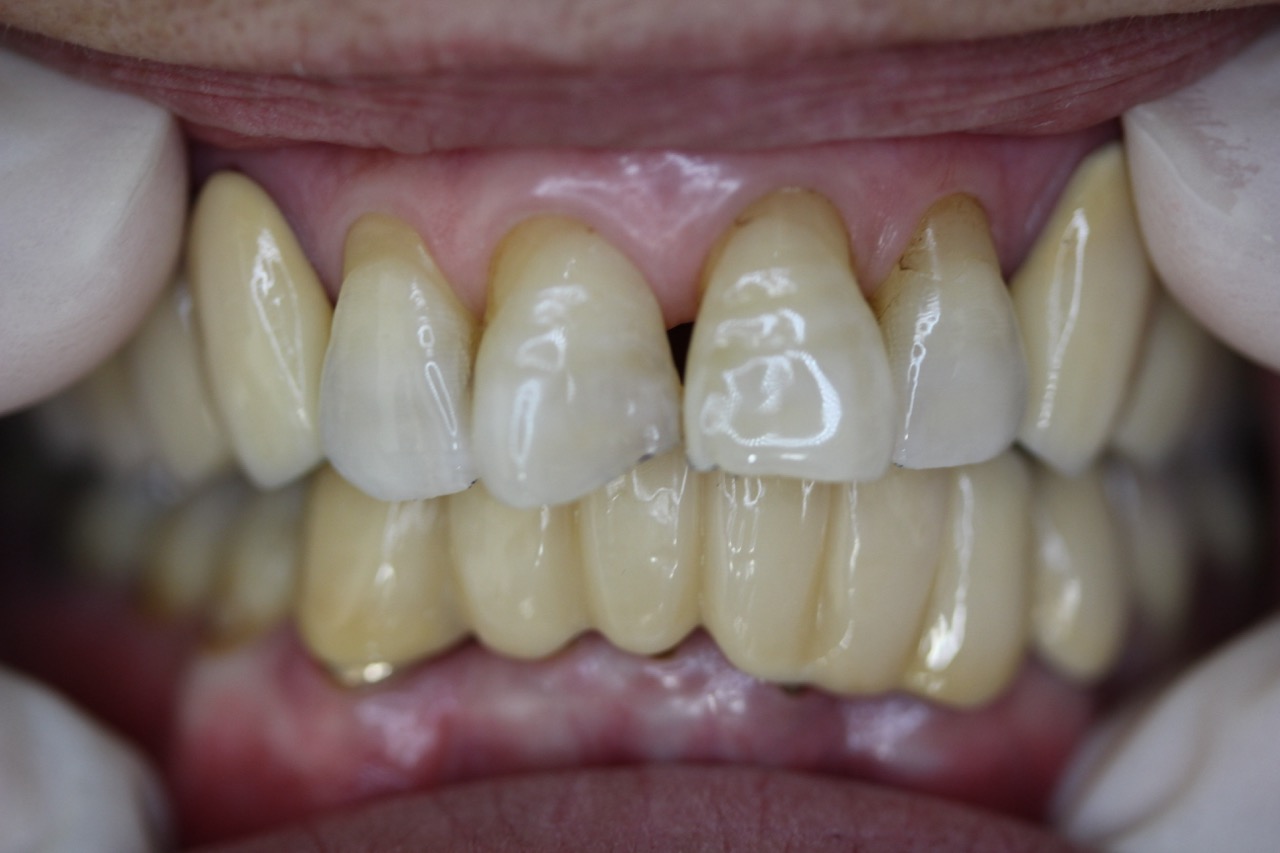
70代女性。噛み合わせの不具合を入れ歯治療により解決。

【CASE02】70代女性  茅ヶ崎市在住

【主訴】

入れ歯が合わず噛めない。歯がグラグラしてきたので心配している。

【治療】

上下顎コーヌステレスコープ義歯により治療

■治療期間と費用
・治療期間:6ヶ月

・費用:¥3,132,000

歯のお悩み、まずは
お気軽にご相談ください

最善の治療を受けていただくためのお手助けをさせていただきます。

  • 茅ヶ崎駅 徒歩5分
  • 駐車場完備

入れ歯、インプラント ご相談受付中
(完全予約制)

0467-82-3627
メールでのご相談はこちらから

ご予約・ご相談(完全予約制)

0467-82-3627
タップして電話 メールでのご相談はこちらから
診療時間
午前 9:00 - 13:00 / 午後 14:00 - 18:00
休診日
木曜・日曜・祝日