70代女性。思いきり笑えないので入れ歯を作りかえたい。

【主訴】
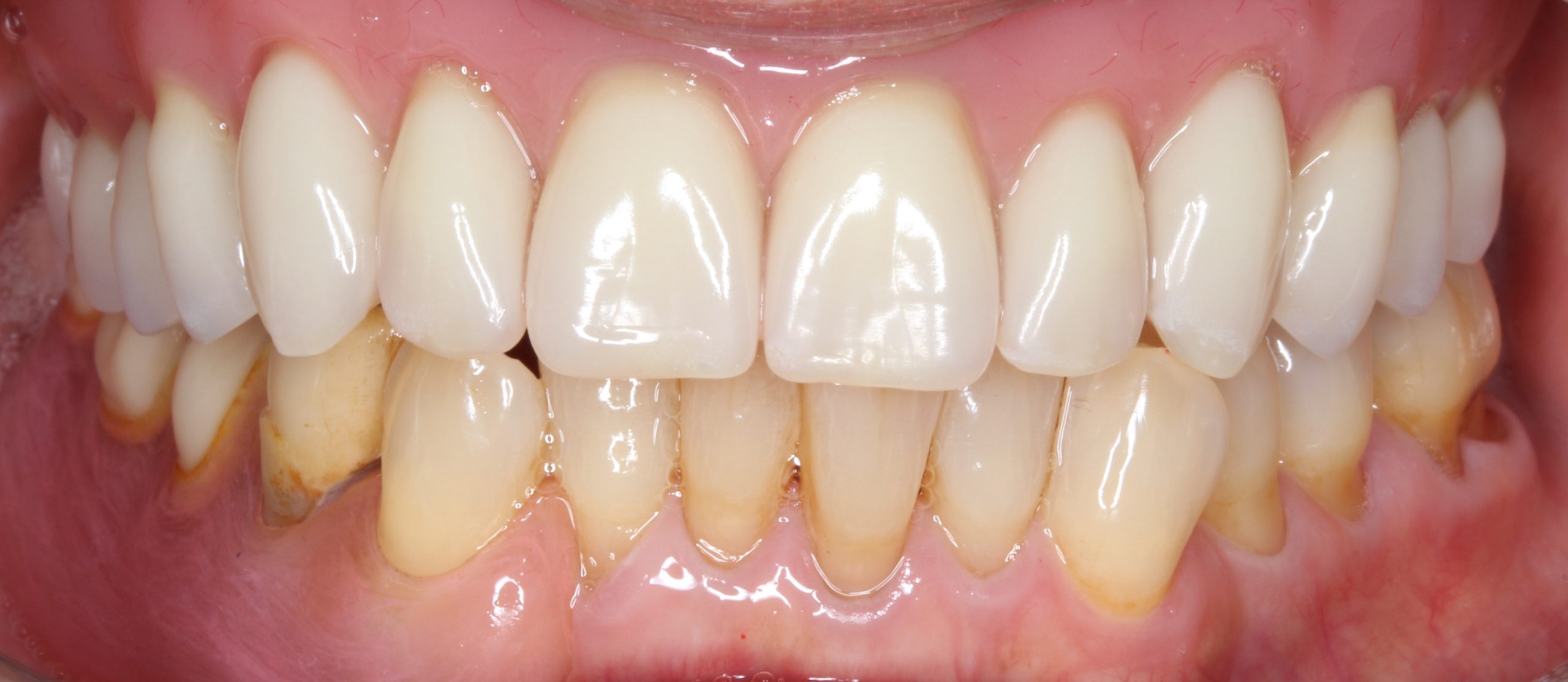
入れ歯の見た目が悪く思いきり笑えないので新しく作り直したい。
【治療】
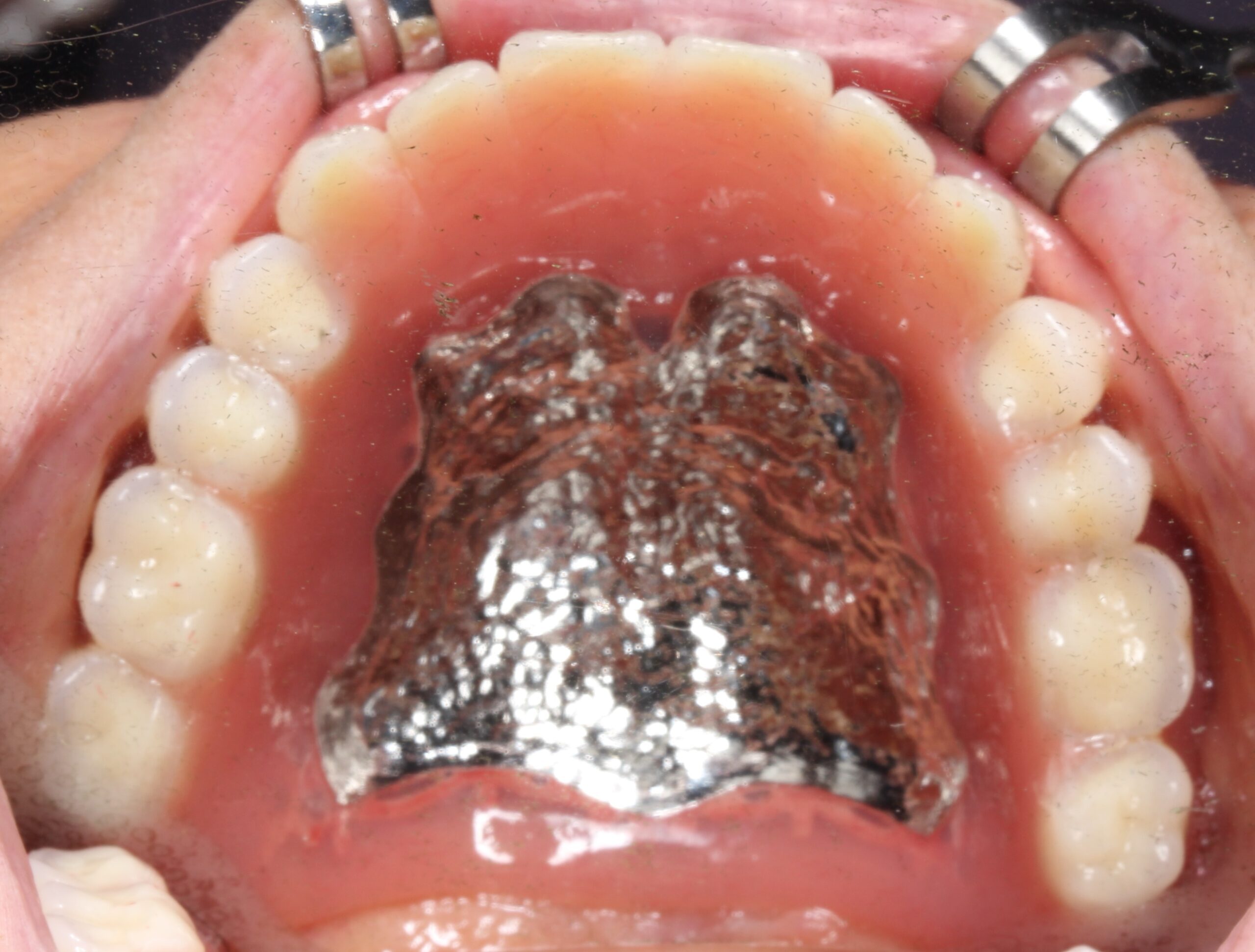
上顎の総義歯を新規作製した。
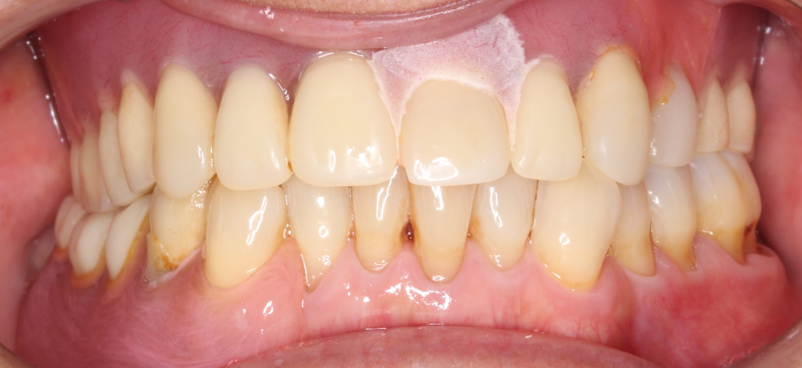
【治療前の状態】

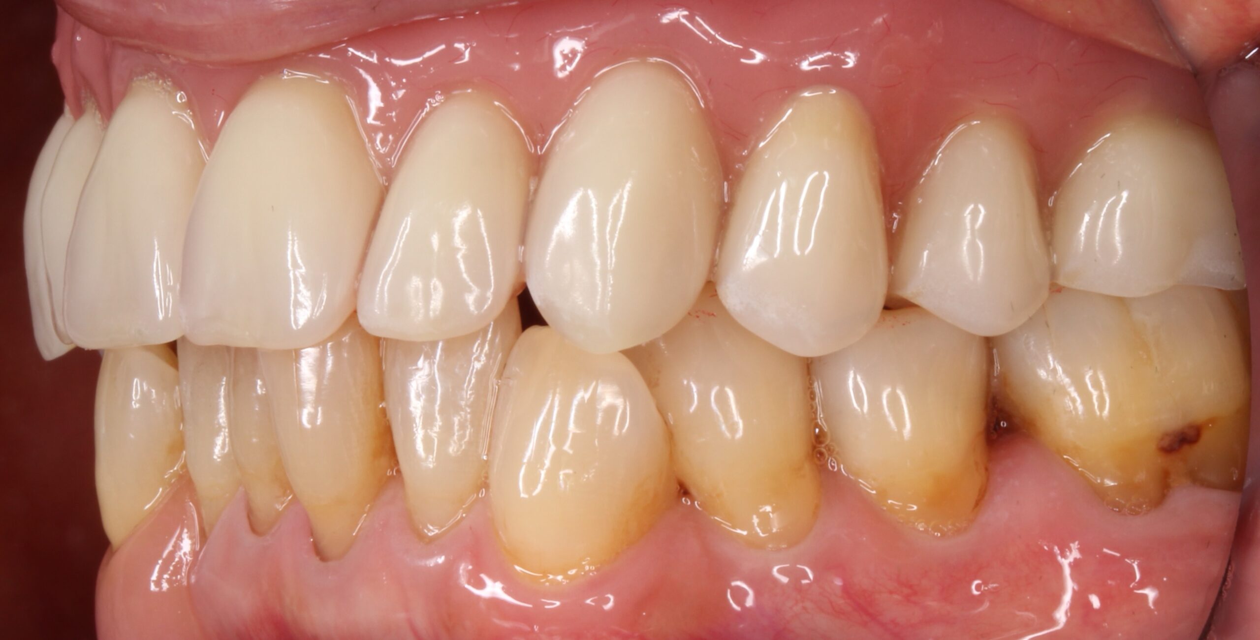
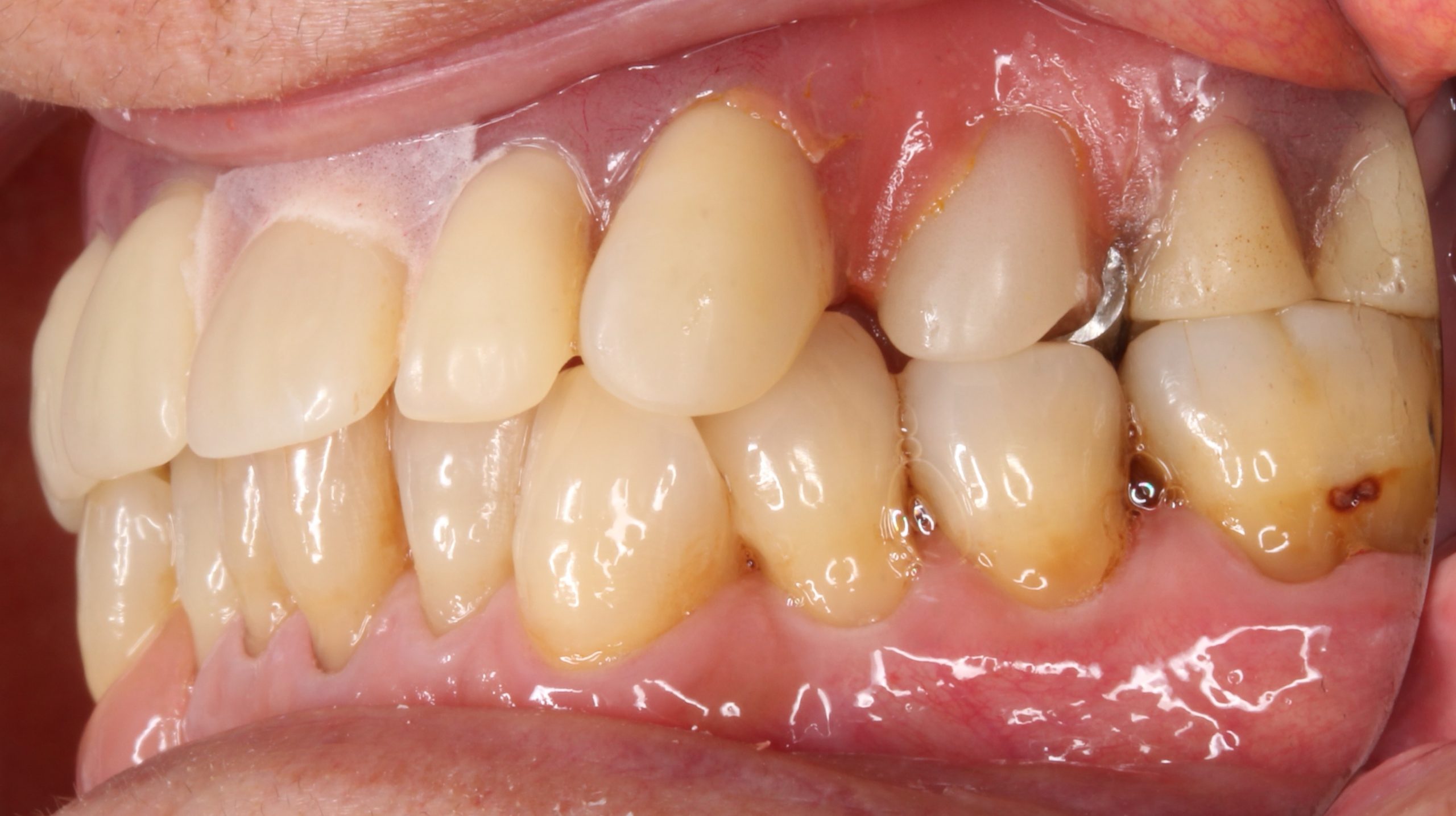
【治療後の状態】


■治療期間・回数
2か月・4回
■費用
¥880,000(自由診療)
※治療費は、治療契約当時のものです。治療内容と状態により異なります。

【主訴】
入れ歯の見た目が悪く思いきり笑えないので新しく作り直したい。
【治療】
上顎の総義歯を新規作製した。
【治療前の状態】

【治療後の状態】


■治療期間・回数
2か月・4回
■費用
¥880,000(自由診療)
※治療費は、治療契約当時のものです。治療内容と状態により異なります。