60代女性。歯がぐらついて噛めないので入れ歯を作り直したい。

【主訴】
入れ歯でちゃんと噛めないので新しく作り直したい。
【治療】
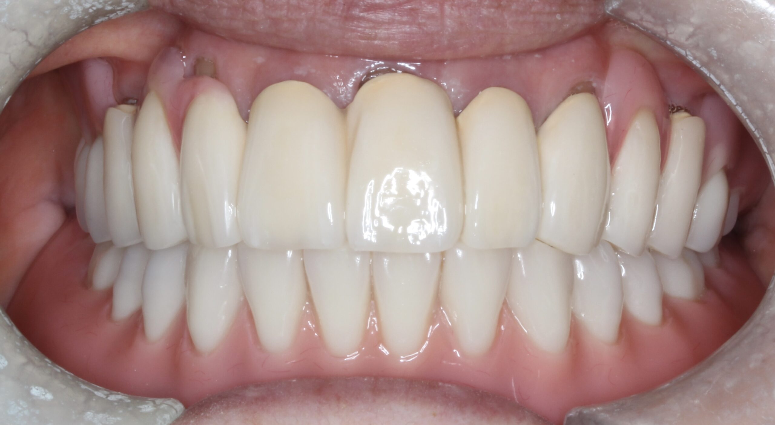
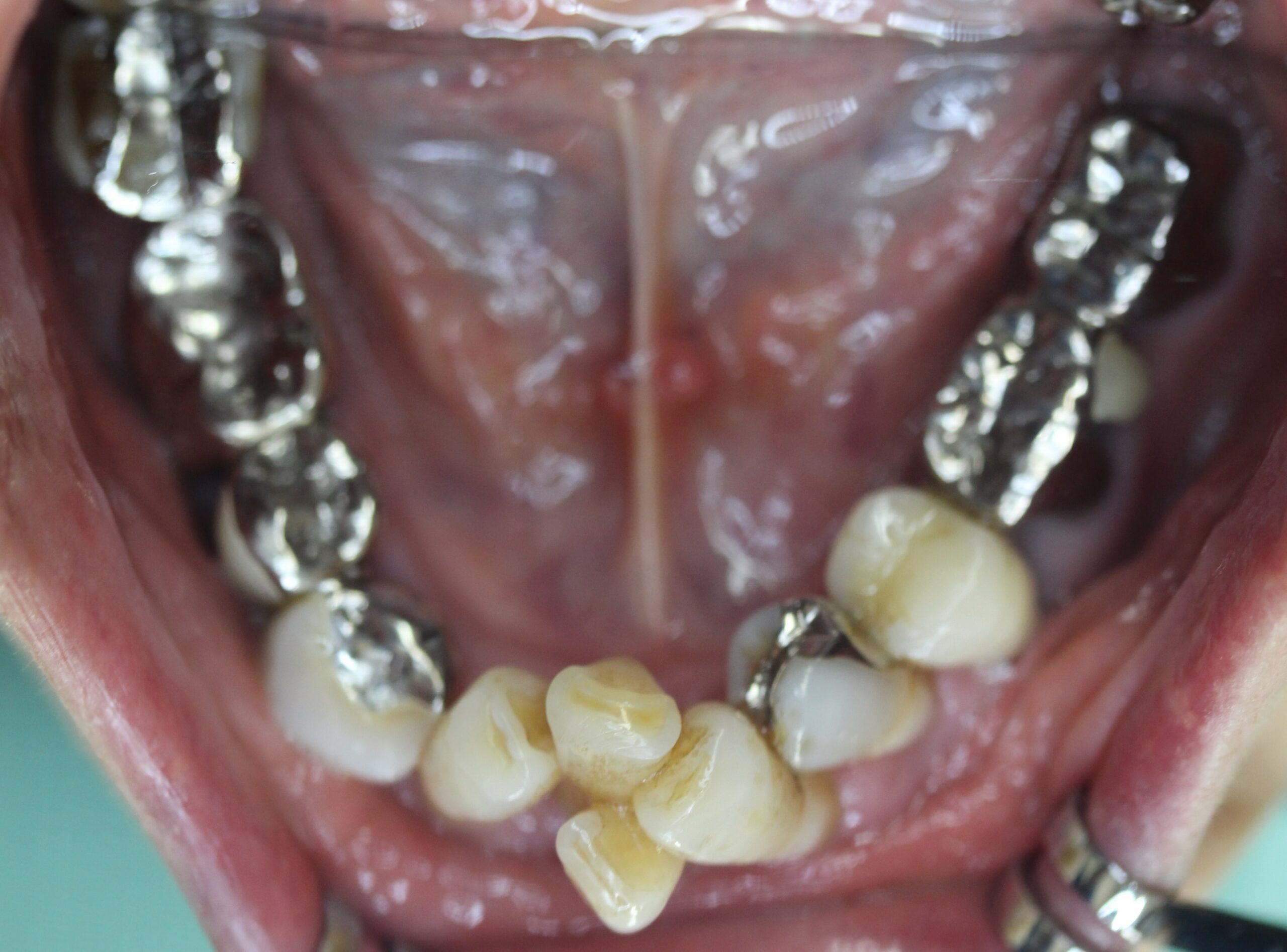
上顎はコーヌステレスコープ、下顎はレジリエンツテレスコープにて治療を行なった。
【治療前】

【治療後】

■治療期間・回数
12ヶ月・12回
■費用
¥4,180,000(自由診療)
※治療費は、治療契約当時のものです。治療内容と状態により異なります。

【主訴】
入れ歯でちゃんと噛めないので新しく作り直したい。
【治療】
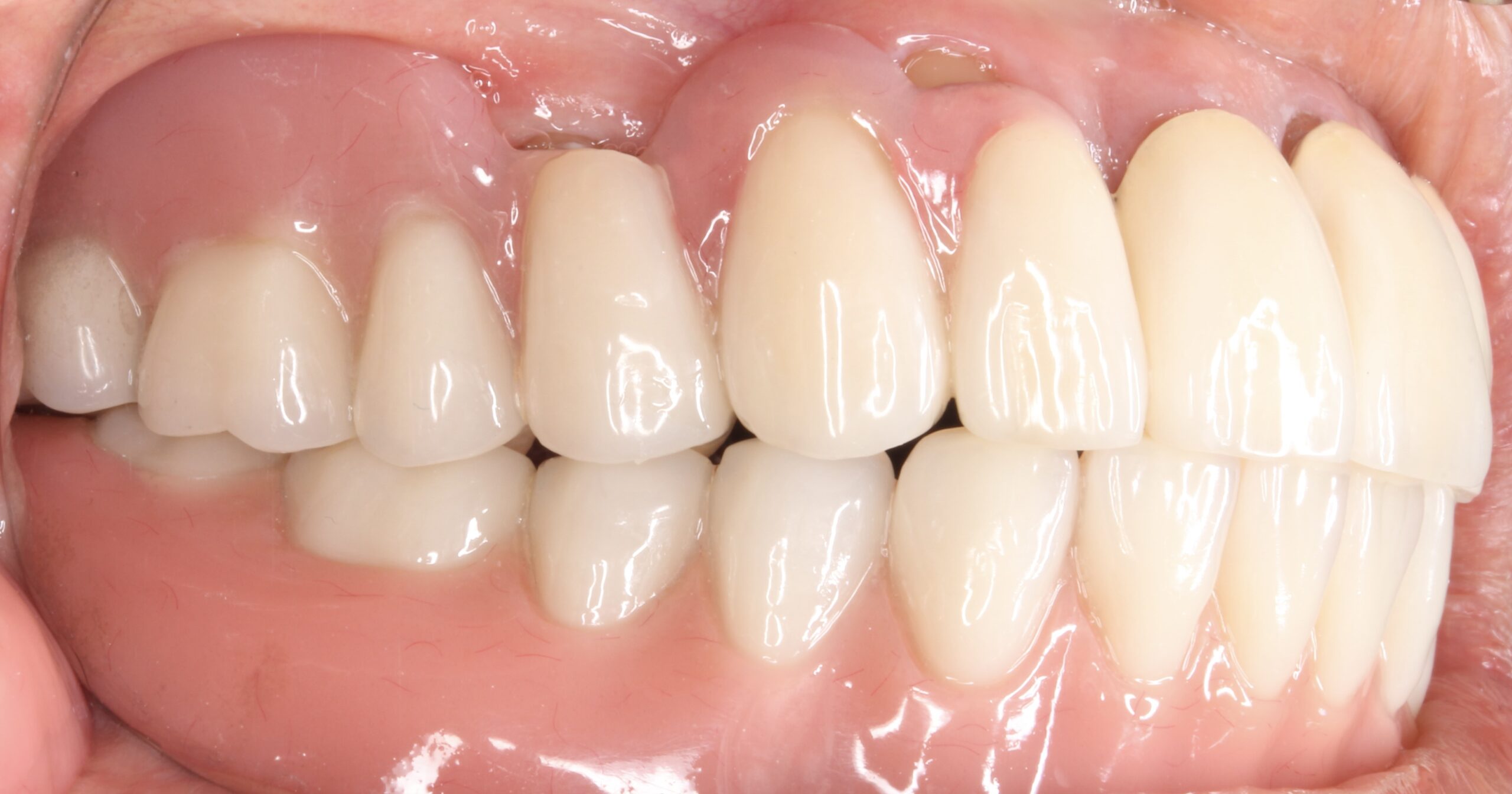
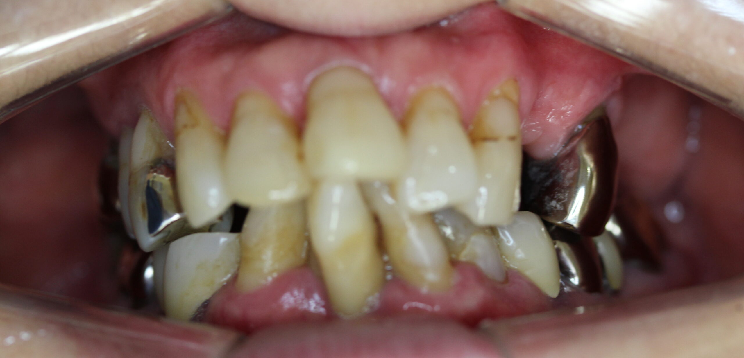
上顎はコーヌステレスコープ、下顎はレジリエンツテレスコープにて治療を行なった。
【治療前】

【治療後】

■治療期間・回数
12ヶ月・12回
■費用
¥4,180,000(自由診療)
※治療費は、治療契約当時のものです。治療内容と状態により異なります。