70代女性。入れ歯が外れやすく自分の奥歯も痛くて噛めない。
【主訴】
奥歯が痛くて噛めない。入れ歯が合っていないので新しく作り直したい。
【治療】
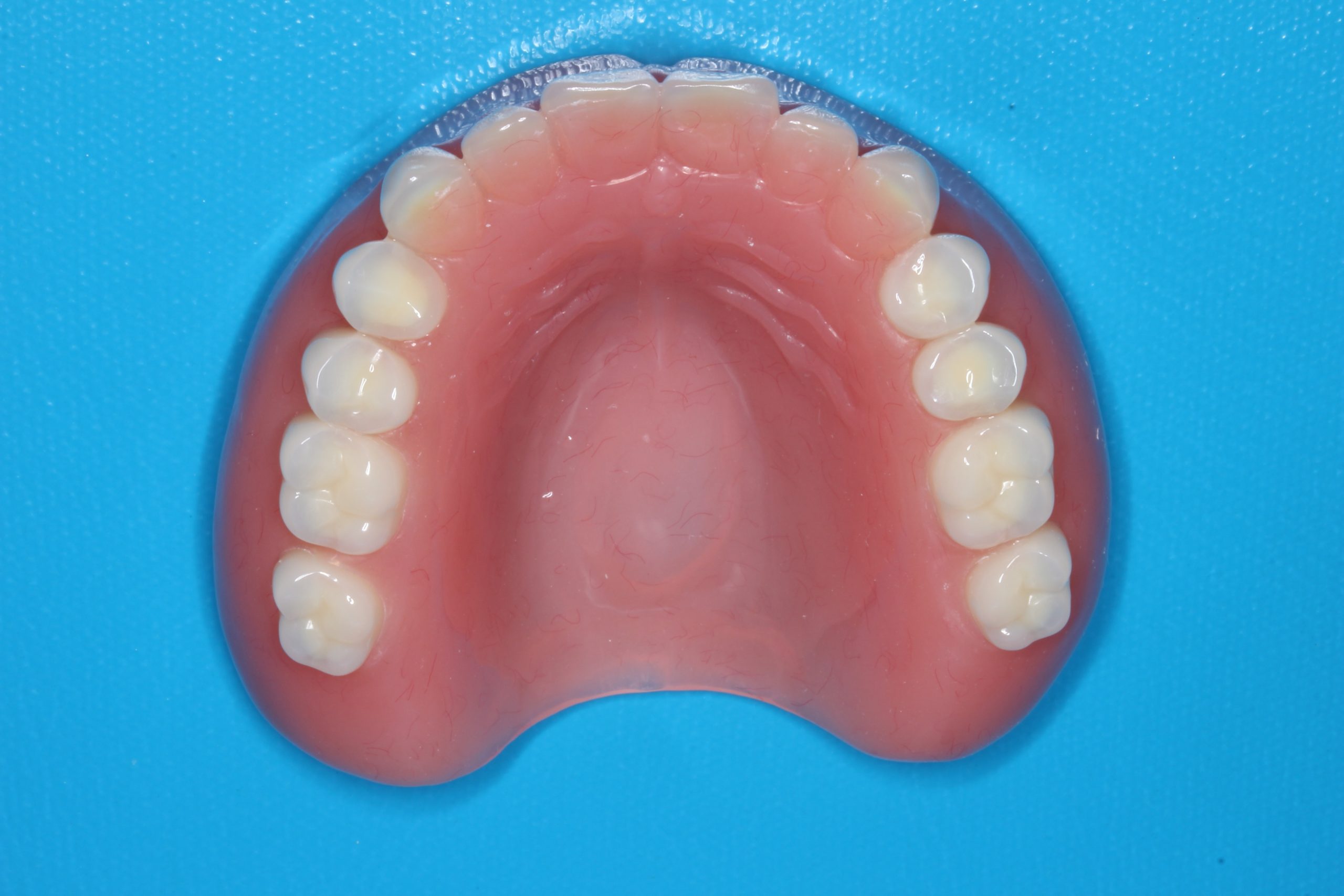
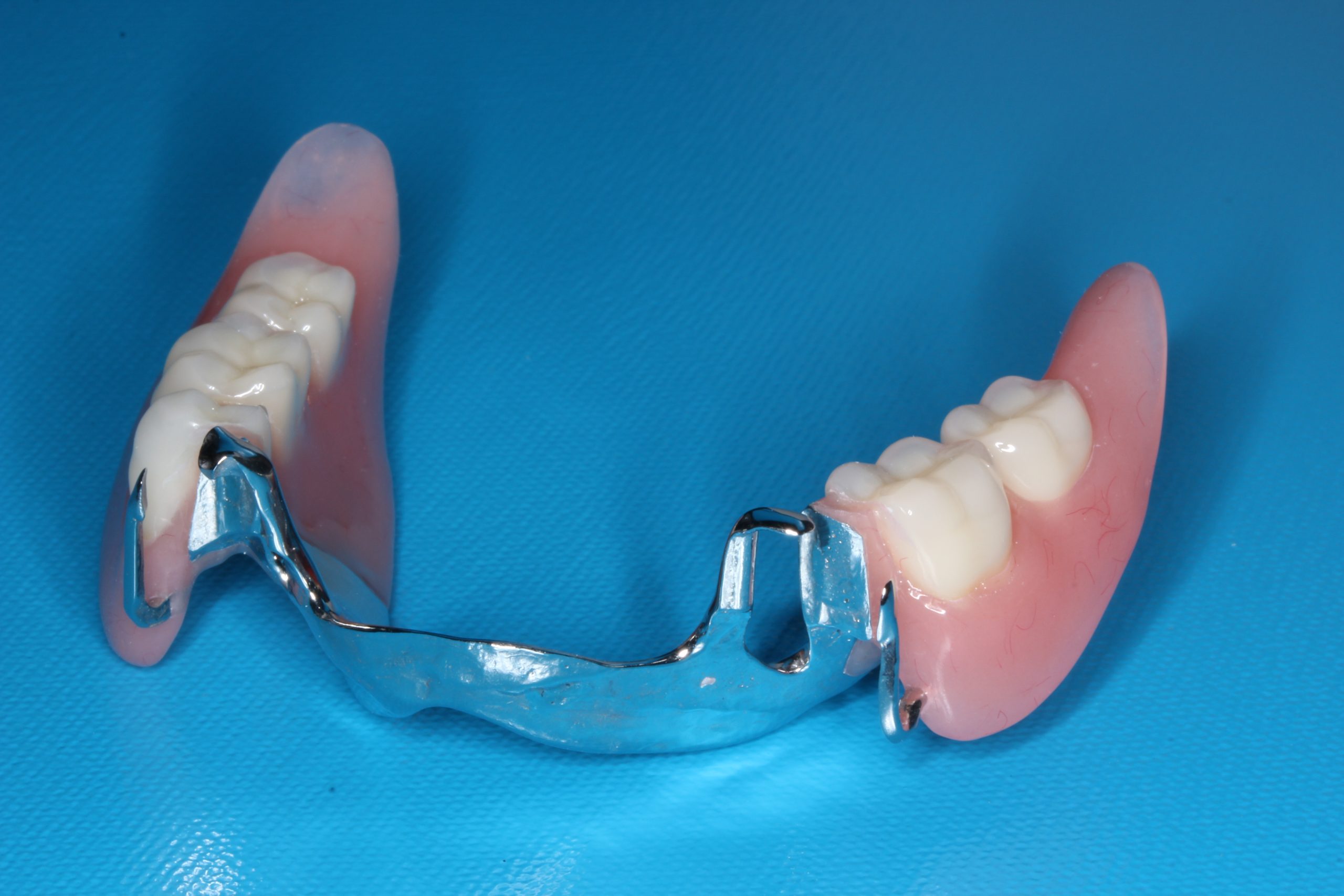
上顎に総義歯、下顎に金属床の部分義歯を製作した。
【治療前の状態】

【治療後の入れ歯】


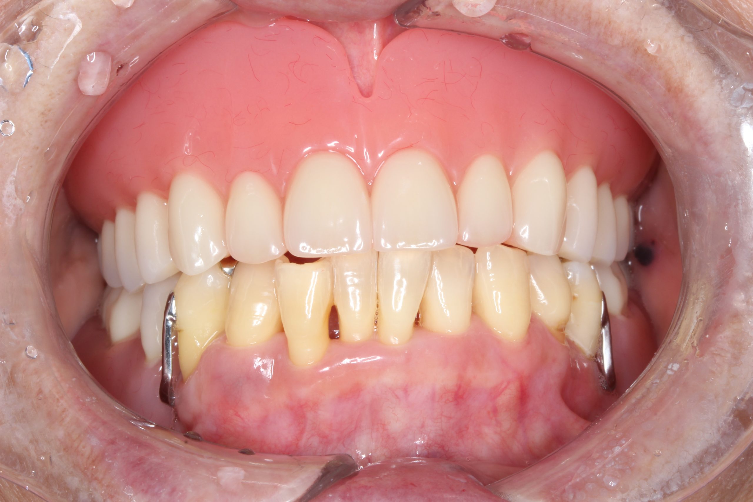
【治療後の状態】

■治療期間・回数
6か月・8回
■費用
¥1,400,000(自由診療)
※治療費は、治療契約当時のものです。治療内容と状態により異なります。
【主訴】
奥歯が痛くて噛めない。入れ歯が合っていないので新しく作り直したい。
【治療】
上顎に総義歯、下顎に金属床の部分義歯を製作した。
【治療前の状態】

【治療後の入れ歯】


【治療後の状態】

■治療期間・回数
6か月・8回
■費用
¥1,400,000(自由診療)
※治療費は、治療契約当時のものです。治療内容と状態により異なります。